-
环状DNA PCR验证技术
环状DNA简介
游离于染色体基因组之外的DNA (extrachromosomal DNA,ecDNA)被发现常常以环状的形式存在,这种形式的DNA被称为环状DNA (extrachromosomal circular DNA,eccDNA)。目前也习惯将巨大的环状DNA(>1Mb)称为ecDNA, 而将相对较小的环状DNA称为eccDNA。
传统观点认为真核基因组通常形成稳定的线性染色体。但新的研究表明:无论是在正常体细胞还是癌细胞中,都存在大量染色体外环状DNA。2019年,Nature杂志上发表了颠覆性研究成果:在肿瘤中,主要的癌基因转录本是直接来自于环状DNA的,而环状DNA的染色质是高度开放的,环状DNA的癌基因能够大量表达,同时缺乏着丝粒,导致不遵照孟德尔定律进行遗传,这种特性使得环状DNA是驱动肿瘤异质性的重要机制。由此可见,由于其结构和表达的特异性,环状DNA可以影响细胞生命活动,促进肿瘤细胞演进和适应性进化,增加了基因组的可塑性和不稳定性。目前,环状DNA不仅仅可以作为一种新型特异的肿瘤标志物,还在肿瘤发生发展机理研究中发挥着重大的潜在价值。可以预见的是,环状DNA将迅速成为新的科研热点,甚至会对传统遗传学和基因组学带来革命性影响。
相关产品
可先通过Circle-seq筛选差异表达的环状DNA,再用PCR验证其在样本中的表达趋势,形成“测序发现-PCR验证”的完整流程。
对PCR产物进行低通量的Sanger测序可以确认某些高通量测序测到表达量较低的环状结构确实存在,也能够验证高通量测序和分析识别环状DNA的准确性。
二者联合能够确定环状DNA存在的同时进行精确定量,更好地验证环状DNA。
环状DNA PCR验证服务
研究环状DNA的过程中,我们会使用高通量测序初步筛选功能性环状DNA,之后还需要进行一些对应的低通量验证实验才能更好地确保实验数据的真实性。云序生物提供环状DNA PCR验证服务,采用outward和inward两种方式进行引物设计(eccDNA引物设计教程),并进行相应的outward PCR和inward PCR,然后将PCR产物跑胶,观察胶图结果。
中间产物电泳引物设计原理示意图
inward扩增引物不包含junction位点,在基因组DNA和eccDNA中均能扩增出产物;而outward扩增引物包含junction位点,在基因组中扩增出的产物不唯一,所以胶图条带是弥散的,而在富集后的eccDNA中能扩增出大量的eccDNA,所以条带较清晰明亮。
中间产物电泳鉴定结果图
-
ꁸ 回到顶部
-
ꂅ 021-64878766
-
ꀥ 微信公众号二维码

-
-
云序用户案例
案例1:血清中染色体外环状DNA SORBS1circle水平升高与新诊断的2型糖尿病患者的胰岛素抵抗有关
发表时间:2024/01/12
发表期刊:Cellular & Molecular Biology Letters
影响因子:9.2
发表单位:皖南医学院弋矶山医院
染色体外环状DNA(eccDNA)广泛存在于人体血液和体细胞中,与癌基因可塑性、药物耐药性及先天免疫激活相关。尽管已有研究报道慢性肾病患者外周血单核细胞中eccDNA的特征,但2型糖尿病(T2DM)患者中eccDNA的存在形式及功能尚未明确。该研究通过设计针对eccDNA SORBS1circle连接位点的outward引物,结合RT-qPCR进行eccDNA PCR验证,在106例新诊断T2DM患者和40例正常对照中证实SORBS1circle的血清水平显著升高(下图C),且与糖化血红蛋白(HbA1C)和胰岛素抵抗指数(HOMA-IR)呈正相关。通过电泳观察SORBS1circle PCR产物大小,与预期扩增长度一致,进一步支持环状DNA的存在(下图B)。
图1. 通过环状DNA PCR验证技术验证eccDNA的存在
高分文章案例
案例2:水稻中染色体外环状DNA的动态变化
原文:Dynamics of extrachromosomal circular DNA in rice
发表时间:2024/03/18
发表期刊:Nature Communications
影响因子:15.7
发表单位:中国科学院&上海交通大学
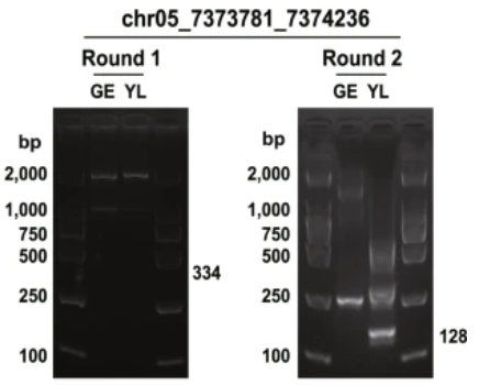
eccDNA作为真核生物基因组的重要组成部分,在人类等物种中已被证实具有丰富且重要的生物学功能,但在植物中的研究尚属空白。水稻作为单子叶模式植物和重要粮食作物,开展其eccDNA的系统研究,将有助于从新的角度认识水稻基因组的特性及其环境适应性。该研究通过Circle-Seq技术在水稻6种组织中鉴定出25,598个高可信度eccDNA,证实了eccDNA在水稻基因组中的普遍存在。研究人员采用eccDNA PCR验证研究结果,发现所有样本中均能稳定检出eccDNA,不仅成功验证了实验方法,更证实eccDNA形成是细胞普遍存在的现象。该研究首次系统揭示了eccDNA在水稻基因组中的广泛存在,为深入理解水稻遗传多样性提供了全新视角。
图2. 通过eccDNA PCR验证eccDNA(chr05_7373781_7374236)
-
云序优势
1.高通量测序与PCR的联动验证
云序生物提供环状DNA测序服务(Circle-seq),可先通过Circle-seq筛选差异表达的环状DNA,再用PCR验证其在样本中的表达趋势,形成“测序发现-PCR验证”的完整流程。
2.精准的PCR设计与分析
针对目标环状DNA设计特异性引物,避免线性DNA的非特异性扩增。
3.一站式服务
客户只需提供组织、细胞、体液或DNA样品,云序生物为您完成从样品制备、环状DNA富集到PCR验证整套实验流程。
-
样本要求:
样品类型:
组织、细胞、血清血浆或DNA样品,其他类型请详询。
样品量:
a)细胞:≥1×10^7
b)组织:≥200mg
c)血清血浆:≥5mL
d)DNA:≥10µg(OD260/280值应在1.7~2.0之间;RNA应该去除干净;不得有其它个体或物种的DNA污染)。
样品运输及保存:
样品运输:样品置于1.5mL Eppendorf管中,封口膜封好,干冰运输,DNA可用冰袋运输。
样品保存:细胞样品或新鲜组织块切块,液氮冻存后-80℃保存;DNA样品可在-20℃短期保存或-80℃长期保存,保存期间避免反复冻融。
技术服务
Technical Service
关于我们
云序生物是国家高新技术企业及ISO9001认证单位,以RNA修饰组、表观遗传组与时空组学为特色,依托高通量测序平台,以“技术创新+全链条服务”为核心,通过专利技术应用(如GLORI)、临床微量样本技术优化及单细胞-空间多组学整合能力,持续推动表观遗传与转录组学发展。
技术服务
